مرض السل (Tuberculosis)؛ أعراضه وأسبابه

مرض الدرن السل مرض خطير ومعدٍ يصيب الرئتين بشكل رئيسي ويمكن أن يصيب الأعضاء الأخرى ، ما أعراضه وأسبابه؟ هل يمكن علاجه؟ هل يمكن تجنبها؟
مرض السل
مرض السل(مرض الدرن) مرض معد يصيب الرئتين بشكل رئيسي (السل الرئوي) ، وهو مرض شائع وخطير ، ومن المفيد معرفة أسبابه مرض السل لتجنبها ، من المفيد أيضًا معرفة الأعراض مرض السل كن يقظًا واستشر الطبيب في الوقت المناسب ، أو أنقذ شخصًا قبل فوات الأوان.
قصيرة
معروف مرض السل هو مرض مزمن ومعدٍ يتركز بشكل رئيسي في الرئتين ، مع العلم أنه يمكن أن يصيب أعضاء أخرى ، وينتج عن نوع من البكتيريا يسمى المتفطرة السلية (Mycobacterium tuberculosis).المتفطرة السلية) ، الذي ينتقل من شخص لآخر ، عن طريق الهواء عن طريق قطرات السعال ، وهو من أكثر الأمراض المعدية في العالم ، فضلاً عن كونه من أكثر الأمراض البكتيرية فتكًا.
أعراض السل

من الممكن أن يصاب الشخص بالبكتيريا المسببة لمرض السل ولكن بدون أعراض (السل الكامن) لأن جهاز المناعة يمكن أن يمنع المرض وقد يشعر الشخص بالمرض (السل النشط) ويمكن أن يحدث هذا بعد عدوى بكتيرية لعدة مرات أسابيع أو حتى سنوات.
تشمل أعراض وعلامات السل الرئوي ما يلي:
- السعال لمدة ثلاثة أو أربعة أسابيع
- سعال مصحوب بدم أو مخاط
- ألم أو ألم في الصدر عند التنفس والسعال
- حمى
- قشعريرة
- إنهاك
- تعرق ليلي
- فقدان الشهية وفقدان الوزن
اقرأ أيضًا: ضيق التنفس المستمر
أسباب مرض السل
ينتج مرض السل عن بكتيريا تنتقل من شخص لآخر عبر قطرات مجهرية تنتقل عبر الهواء. يمكن أن يحدث هذا عند التعرض للشخير أو البصق أو السعال أو التحدث أو الضحك من الشخص المصاب. يزيد خطر الإصابة بالعدوى في حالة وجود عوامل الخطر. ، حيث:
- فيروس نقص المناعة البشرية (الإيدز)
- تناول الأدوية المثبطة للمناعة (التهاب المفاصل الروماتويدي)
- أمراض الكلى الحادة
- داء السكري
- أنواع معينة من السرطان
- سوء التغذية
- كبر السن أو صغره
إقرأ أيضاً: المناعة والعدوى الفطرية
المضاعفات
يمكن أن يكون المرض قاتلاً ، ويؤثر سلبًا على الرئتين دون علاج ، ويؤدي إلى مضاعفات خطيرة ، منها:
- آلام العمود الفقري وآلام الظهر وتيبس
- يفضل التلف وخاصة الوركين والركبتين
- التهاب السحايا الذي يسبب صداعًا متقطعًا أو مستمرًا
- التغييرات العقلية المحتملة
- مشاكل الكبد والكلى ، لأنها تطهر مجرى الدم من الفضلات والملوثات
- النوبات القلبية في حالات نادرة (الدكاك القلبي)
تشخيص مرض السل

- الفحص البدني ، والتحقق من وجود العقد الليمفاوية المتورمة ، والاستماع إلى أصوات التنفس
- اختبار السل الجلدي ، حيث يتم حقن مادة تسمى السل تحت الجلد والبحث عن تورم في موقع الحقن بعد 48 إلى 72 ساعة
- اختبارات الدم ، التي يمكن أن تؤكد أو تستبعد السل الكامن أو النشط ، تقيس رد فعل الجهاز المناعي منيع النظام تجاه البكتيريا
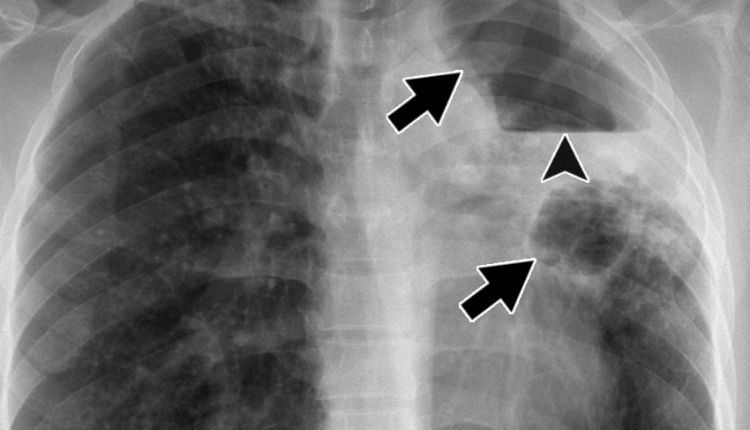
- اختبارات التصوير أو الأشعة السينية على الصدر أو الأشعة المقطعية للبحث عن بقع بيضاء أو تجاويف (تجاويف) في الرئتين ناتجة عن تفاعل مناعي أو تغيرات بسبب المرض
- تحليل عينات البلغم لاكتشاف البكتيريا المتضمنة وفحص السلالات المقاومة للأدوية من أجل اختيار العقار المناسب
علاج السل
في حالة المرض النشط ، يجب معالجة المضادات الحيوية لمدة ستة إلى تسعة أشهر على الأقل. يعتمد اختيار الدواء المناسب على العمر والحالة الطبية ومقاومة المضادات الحيوية وموقع الإصابة. أدوية السل الشائعة هي:
- أيزونيازيد (الدواء رقم واحد)
- ريفامبين
- إيثامبوتول
- بيرازيناميد
لعلاج السل المقاوم للأدوية ، يتم استخدام مجموعة من الأدوية تسمى الفلوروكينولونات لمدة 20-30 شهرًا ، ولكن بعض الأنواع بدأت أيضًا في تطوير مقاومة ضدها ، لذلك يمكنك استخدام:
- لينزوليد
- بيداكويلين
في حالة الإصابة بالسل الكامن ، قد ينصح الطبيب بتناول الأدوية ، خاصة إذا كان الشخص معرضًا لخطر الإصابة بالسل النشط.
إقرأ أيضاً: المضادات الحيوية وآلية عملها
منع مرض السل

السل النشط هو الوحيد المعدي ، ويستغرق الأمر بضعة أسابيع من العلاج قبل أن تصبح معديًا. وإليك بعض النصائح لحماية عائلتك وأصدقائك من العدوى إذا كنت مصابًا بمرض السل الرئوي النشط:
- ابق في المنزل ، ولا تذهب إلى المدرسة أو العمل ، أو تنام في غرفة مع أشخاص آخرين
- قم بتغطية فمك بمنديل عند العطس أو السعال أو الضحك ، ضع المنديل في كيس وتخلص منه بعيدًا
- تأكد من ارتداء قناع عند وجودك حول أشخاص آخرين
- تأكد من أن الغرفة جيدة التهوية
- تناول جميع الأدوية الموصوفة
في البلدان التي ينتشر فيها مرض السل ، يتم إعطاء لقاح (BCG) للرضع ، لكن لا ينصح باستخدامه بشكل عام لأنه غير فعال للغاية عند البالغين
أخيرًا ، راجع طبيبك إذا كنت تعاني من الحمى أو فقدان الوزن أو التعرق الليلي أو السعال المستمر. يمكن أن تكون هذه الأعراض مؤشرًا لمرض السل ، ولكنها قد تكون نتيجة لمشاكل أخرى ، لذلك لا تتغاضى عن الأعراض وترى طبيب. .